
Find out why you get sudden “pain attacks” in your shoulder that can stop you in your tracks.
You’re just sitting there, maybe watching TV or eating, when suddenly, it strikes out of the blue: yet another pain attack of your shoulder, biting down hard on you.
You must stop what you’re doing and try to bear the pain without loudly moaning.
Let’s assume you’ve had your heart, aorta and lungs examined to rule out any conditions with these structures, as problems with these can indeed radiate discomfort to the shoulder.
So where can this intense, sudden shoulder pain come from, if you haven’t recently fallen on this joint, been hit there by a baseball or broken a bone there?
“Here too, making sure there is not a muscle or ligament tear is important, i.e., clinical exam and MRI,” says Dr. Moshe Lewis, MD, board certified in physical medicine and rehabilitation.
But let’s assume you’ve already had an exam and MRI, indicating no tear.
“If this is negative, presumably, the pain still has to be minimized or else therapy will only flare things more.
“Options include an anti-inflammatory or icing for acute pain, heat for chronic pain.”
So what’s causing your sudden, severe shoulder pain?
It’s likely arthritis or shoulder impingement.
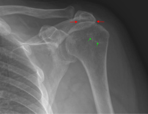
Impingement is when the top of the humerus bone of the upper arm impinges upon one or more of the tendons of the rotator cuff, literally fraying it. See the image below.

Even if you think you’re sitting still, tiny, subtle movements in your position could shift the humerus against the inflamed edges of a rotator cuff tendon. This really hurts.
Another possible cause of sharp pain in the shoulder that comes and goes:
“Sometimes a cervical pinched nerve can masquerade as shoulder pain,” says Dr. Lewis.
“A good exam is in order.” This would likely be an MRI of the neck.
Dr. Lewis is the founder and CEO of Golden Gate Institute for Physical Medicine in CA, which provides education and clinical management of pain.
Lorra Garrick is a former personal trainer certified by the American Council on Exercise. At Bally Total Fitness she trained clients of all ages for fat loss, muscle building, fitness and improved health.
.








































