
Burr hole drainage is a standard treatment for chronic subdural hematoma, but what if the patient then complains of frequent and/or really bad headaches, or even nasty neck pain?
How common are headaches or neck pain after burr hole draining of a chronic subdural hematoma?
“Headache is a fairly common complaint after a burr hole washout of a subdural hematoma,” says Kangmin Daniel Lee, MD, a neurosurgeon with New Jersey Brain and Spine.
“Pain fibers are carried in the dura, and since the dural covering is opened to drain subdural hematomas, this can be one source of headache.
“Also, if there has been incomplete evacuation of the hematoma, this can also be a source of headache.
“Finally, there is often incisional pain which can be disguised as a headache.”
My mother had a burr hole drainage of her chronic subdural hematoma.
That day, following the surgery, and for a few days after, she complained of headaches.
But they weren’t nearly as bad as the headache (from the chronic subdural hematoma) that she suffered prior to the surgery.
I assumed it was only natural to have a headache after surgery on the head.
I’d ask my mother to place her fingers where the headache hurt the most, the “epicenter” of the headache pain, and she’d always place her fingertips smack on the incision area.
A few days after the burr hole drainage, my mother experienced sudden-onset neck pain.
The first time was in the morning, when I wasn’t there to observe it.
The second time, in the evening, I observed it. She was in agony, writhing and sounding as though she were in labor.
So how was this neck pain associated with the burr hole draining of the chronic subdural hematoma, if at all?
Dr. Lee (who was not my mother’s neurosurgeon) says, “Neck pain is not common, but would not be unusual, as headaches can be associated with neck pain frequently.”
One nurse suggested that the way my mother had been positioned on the operating table had caused a muscle to spasm in her neck.
Another nurse suggested that the neck pain was caused by my mother’s ongoing bed rest in virtually the same position.
I didn’t believe these were causes of neck pain that was agonizing enough to make a woman appear that she was in the process of giving birth.
The first nurse then suggested that the neck pain was caused by nerve endings from the brain being fired off from the burr hole draining procedure, and that these nerves extended into the neck.
The neck pain, both times, had been subdued with a hot pack and Vicodin.
Postoperative headaches, then, are to be expected, following burr hole drainage of a chronic subdural hematoma.
But beware if the headaches start becoming worse and more frequent.
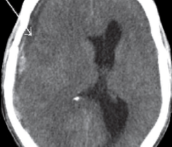
This could signal a recurrence of the chronic subdural hematoma (there is a 15 percent recurrence rate).
This happened to my mother; she had a recurrence, and at some point on the headache continuum, the cause of the headaches transformed from postoperative and incisional, to a recurrence of the chronic subdural hematoma.
Ten days after the burr hole drainage, the headache pain was so unbearable that she couldn’t sleep through the night.
A few other new symptoms were present, convincing me she had a recurrence of the chronic subdural hematoma (or, to put it another way, perhaps the burr hole draining wasn’t complete, and residual fluid and leaking continued to build up).









































